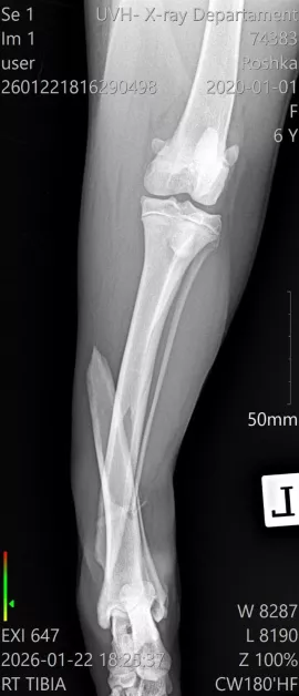
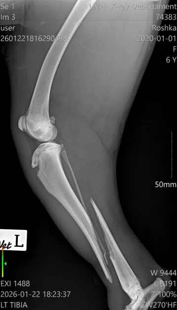
Кученце е в тежко състояние след удар от автомобил, доброволци търсят спешна помощ за животоспасяваща операция. Кученце на име Рошка е с тежки фрактури на задните крака, след като е било блъснато от автомобил и изоставено безпомощно на пътното платно край Батак.
местна доброволка е станала пряк очевидец на случилото се. Без колебание тя е потърсила помощ от организацията, която, въпреки натоварения си капацитет и сериозните задължения, е реагирала незабавно.
Рошка е транспортирана по спешност до ветеринарна клиника в Стара Загора, тъй като клиниката в града, която доброволците обичайно посещават, вече няма възможност да поема нови случаи. Там кученцето е прегледано от специалист ортопед и са му направени необходимите изследвания.
Диагнозата е тежка – две сериозни фрактури на задните крайници в областта на пищялите, с разместване и травмирани меки тъкани. По думите на ортопеда съществува реален шанс фрактурите да бъдат фиксирани с импланти и винтове, което би позволило на Рошка отново да проходи.
Въпреки жестокия удар, лекарите отчитат и добрата новина – няма увреждания на таза и гръбначния стълб, а кученцето успява самостоятелно да извършва физиологичните си нужди.
Състоянието ѝ обаче остава критично. Рошка се нуждае от спешна хирургична намеса в най-кратък срок. Фрактурите са изключително болезнени и в момента животното изпитва силна болка.
Доброволците отправят апел за подкрепа, за да бъде осигурена необходимата операция и последващо лечение. „Молим за помощ, за да дадем на Рошка шанс за живот без болка и страдание“, призовават те.



Още от категорията
Виж всички
Стотици ученици, учители и жители се включиха в празничните шествия за 24 май в Община Марица
Стотици жители и гости на Кричим отбелязаха 24 май
Акценти
Виж всички
Честит 24 май!